Buy one pair of eyeglasses, get a second pair free!
*Restrictions apply. Click here for details.
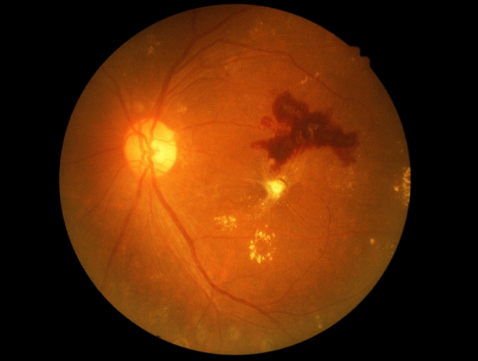
People with diabetes are at risk for developing diabetic retinopathy, a condition that damages the retina within the eye. The longer you have diabetes, the more likely the more likely you are to experience this complication. A healthy retina allows your vision to work properly. The retina is the light-sensitive structure on the inner back wall of the eye. When light enters your eye, an image of what's in your field of vision appears on the retina. These light signals are transmitted to the brain through the optic nerve, which then translates the images into visuals your brain can understand.
A network of tiny blood vessels keeps the retina nurtured and working well. When someone with diabetes has uncontrolled blood sugar levels, it may damage small blood vessels throughout the body, including within the eye. This can cause the retina to receive too little blood flow, impacting eye function and leading to vision loss. In addition, the blood vessels may leak small amounts of blood into the eye, blocking vision. In some cases, abnormal blood vessels may form within the eye, which may leak blood or form scar tissue, both of which may contribute to loss of vision.

Diabetic retinopathy symptoms are often silent in the condition’s early stages, and many people may not notice any vision changes at first. When diabetic retinopathy becomes more advanced, it may affect vision in several ways:
Your vision may appear blurry
You may notice floaters in your field of vision
Your night vision may worsen, or you may begin to see colors less vividly
You may see dark spots or unexpected blank areas within your field of vision
If you have diabetes and notice any of these vision problems, call your eye doctor for an appointment to assess your eye health.

Diabetic retinopathy is diagnosed through a comprehensive eye exam, where your eye doctor will assess your retinal health. The doctor will dilate your pupils with eye drops to better examine the inner structures of your eyes and provide an accurate diagnosis.
The doctor may perform a test known as optical coherence tomography, which takes images of the retina to assess its thickness to check for the presence of diabetic retinopathy.
Another test, called a fluorescein angiography, can help the eye doctor view blood vessels within your eye. During this procedure, the doctor injects dye into your arm, which travels through blood vessels and reaches your eyes. The dye appears bright yellow, making it easy for your doctor to see the tiny blood vessels in your retina. Using a specialized camera, the doctor takes images of your eyes to see if the blood vessel activity suggests diabetic retinopathy.

In the early stages of the disease, managing your diabetes may be enough to keep diabetic retinopathy under control. It's important to see your eye doctor regularly for a dilated eye exam to keep track of any possible changes.
When diabetic retinopathy affects your ability to see, treatment may help to preserve your remaining vision. Some people receive medication known as anti-VEGF therapy, which stops blood vessels from leaking fluid within the eye; it's injected into the eye after the eye is numbed. Laser treatments may seal leaky blood vessels or minimize the presence of new, abnormal blood vessels. If scar tissue or blood builds up within the eye, it may be removed during surgery.
After you've been diagnosed with diabetes, it is important that you take any medication that your doctor prescribes to help keep your blood sugar levels in a healthy range. See an eye doctor at least once a year for a dilated eye exam to maintain your eye health and catch signs of diabetic retinopathy early.
Good nutrition and regular physical activity may help to keep your blood sugar levels in a healthy range. Eat a healthy diet and get regular exercise to lower your risk of diabetic retinopathy or to prevent existing retinopathy from becoming worse.
Diabetic retinopathy may lead to vision loss or blindness, but these complications are usually preventable with self-care and an eye doctor's advice. To consult with one of our compassionate doctors, find a Clarkson Eyecare location near you.
If you have diabetes and are experiencing symptoms of diabetic retinopathy, don’t hesitate to reach out to our experts. At Clarkson Eyecare, we prioritize comprehensive eye care, ensuring every patient receives the best possible treatment for their vision needs. To effectively manage diabetic retinopathy, find a Clarkson Eyecare location near you and schedule an appointment today.